连续碳纤维增强peek在骨外固定支架中的应用优势
临床骨折的固定主要涉及内固定、外固定和外固定器这几种,内固定是通过手术在直视下对骨折处以钢板、螺丝钉等进行复位和固定,外固定即以传统的石膏、夹板对骨折部位进行局部外固定以保持稳定,外固定器则是通过固定支架将特制的钢钉打入骨中以达到稳定的目的。

对于伴有大面积软组织损伤或伤口严重污染的骨折、多段骨折、不稳定尤其是粉碎严重的骨折、需多次搬动和分期处理的批量伤员的骨折、骨不连、肢体延长、烧伤合并骨折、多发性骨折以及合并颅脑损伤的骨折,骨外固定器可以在远离病灶区取穿针和架空创伤处固定,既能对骨骼牵开延长,又能对骨折端加压,手术的操作和远离骨折端的钢针可以避免加重骨折局部区域的破坏,体外固定装置也不会影响到伤肢血液循环,可纠正早期成角和旋转畸形,能更好地解决固定与相关治疗之间的矛盾。而且,骨外固定器比内固定手术操作更加简单,创伤小、不用输血、骨愈合快、治愈率高、并发症少而轻,且愈合后钢针便于取出,无需二次手术,有利于在各种复杂情况下对骨折进行及时有效的固定。

用于制作骨外固定器的原材料不仅要满足固定、牵伸、加压等基本功能,还要有利于骨折的再修复,其构型、体积、重量和灵活性也很重要。一般具有良好固定作用的原材料能实现原始骨的愈合,但是其应力遮挡现象却不利于外骨痂的形成,骨折愈合往往需要持续很长时间,还易于发生二次骨折,所以骨外固定器在材料上必须选用强度好、质量轻以及能透X射线的优质材料。
传统的骨外固定器多选用金属材质,如钛合金、钴铬钼合金等,弹性模量多在100GPa以上,但是人体骨质弹性模量一般仅为1-3GPa,过高的弹性模量必然会产生严重的应力遮挡,所以轻度高而弹性模量适当的复合材料相对而言就要适合得多。我公司根据国外骨科外固定器的应用经验,使用长丝碳纤维增强PEEK复合材料代替一般的短切或粉末碳纤维增强复合材料制作外固定器零部件,在耐磨性等方面应用价值更为突出。

聚醚醚酮(PEEK)材料密度小、加工性能好,具有耐水解性、耐腐蚀性、阻燃性和绝缘性,PEEK树脂无毒、质量轻,是与人体骨骼最接近的材料,可与肌体相结合,但是其韧性和耐冲击强度偏差,当与增强纤维碳纤维结合使用时,其机械性能将明显增加,材料的磨损率和摩擦系数也会随之降低,另外,复合材料性能的可设计性还可以使其在很大范围内满足多种刚度需求,总体呈现出热稳定性好、耐腐蚀、自重轻、透电磁射线好等特征,而且PEEK与碳纤维之间有良好的界面结合,碳纤维增强后的PEEK复合材料在抗蠕变、耐湿热、耐老化和抗冲击性能等方面都表现优异。
医疗器械在使用过程中必须面对蒸汽消毒的问题,一般说来,蒸汽消毒的过程会引发纤维与树脂基体的变化,并可通过扩散进入复合体系的界面,引起界面脱粘,导致材料的力学性能下降,我公司通过先进的工艺处理,使长丝碳纤维增强的PEEK复合材料在经过15-20分钟的常规蒸汽灭菌消毒后,力学性能几乎没有变化,在高达数万次的70%以上为载荷的弯曲疲劳后,弯曲模量也没有显著变化,纤维与基体的结合仍然很好,更好地满足骨外固定材料在使用期间承受循环弯曲应力的需求。

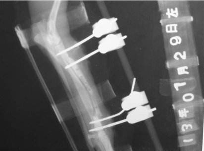
不仅如此,我公司的产品研发部对我们自己生产的PEEK碳纤维骨外固定器零部件进行了对比性实验,证明碳纤维增强PEEK复合材料具有极其优越的X射线穿透能力,这对骨外科病人来说意义重大。因为临床医生不仅需要借助X射线对骨折断端进行修复或固定手术操作,还需要经常检查病人的骨折愈合情况,在此情况下,将长丝碳纤维增强PEEK复合材料作为骨外固定器械材料,在骨外科的临床应用中受到了肯定和欢迎。
(版权所有,转载时请务必保持内容的完整性并标明文章出处。)





